锦州男科医院那里好,前列腺结石怎么检查出来的?你想知道的这里告诉你
“医生医生,体检报告里写着前列腺结石,我该怎么办,需要吃药吗?还是要住院碎石呢?”
图为 超声检查提示“前列腺结石”
相信很多朋友看到上面这段话并不陌生,甚至自己就曾有过类似的求医经历:
既往没有什么不舒服,体检报告里却有一句——前列腺结石,建议泌尿外科门诊就诊。那么,到底“前列腺结石”是何方神圣?与肾结石有什么差别?需要治疗吗?带着以上种种疑问,今天小编就给大家仔细讲讲“前列腺结石”。
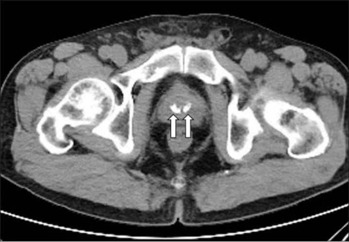
图为 CT中的前列腺结石
前列腺结石,顾名思义,就是前列腺里长结石了,与肾、输尿管里的结石不同,前列腺结石多见于50岁以上的中老年男性,且多无明显症状,常常在做体检(超声、CT检查等)时偶然发现,所以经常被称作“静石”。这种情况下无需特殊治疗,定期随访就行。
当然,并非所有“前列腺结石”都是“悄无声息”的,部分患者朋友可能伴有下腹部不适、慢性盆腔痛,甚至可能伴有尿频、尿线细、排尿费力等表现,这又是怎么回事呢?
原来,前列腺结石分为“内源性结石”和“外源性结石”,内源性结石一般指存在于前列腺腺体之内的结石,多由慢性炎症导致的前列腺腺管阻塞,前列腺液浓缩,各种成分混合并钙化所致,此类结石可含较多细菌;而外源性结石则指的是尿液反流形成的位于前列腺部尿道中的结石,类似于肾、输尿管结石,结石较大时可能导致尿路刺激症状、尿道狭窄并引起排尿困难。我们一般说的前列腺结石多指“内源性结石”。
图为内窥镜下的前列腺结石,A为内源性结石,B为外源性结石
据报道,前列腺结石的患病率约为7%,而老年前列腺增生患者则可达70%,伴随慢性盆腔疼痛的患者患病率亦可达近50%。
目前研究认为,前列腺结石与年龄增大、前列腺增生及慢性前列腺炎相关,而与PSA无关,前列腺结石与前列腺癌的关系尚不明确。因此,治疗方面,除了无症状前列腺结石外,针对外源性结石,可采取经尿道前列腺电切(TURP)或激光剜除等手术方式尝试改善症状,而针对内源性结石,尤其是伴有慢性下腹部及会阴不适,考虑慢性细菌性前列腺炎的患者,在口服抗生素治疗的同时,亦可考虑手术去除结石(TURP等)。
因此,下次再看到类似的报告,可以先评估一下自己有没有排尿困难、下腹部慢性疼痛等不适的症状,如果没有,可以先不用担心,如果有,则需要及时到医院泌尿外科就诊。








